The final launch of the Allmultimedia.org will take place on February 27, 2026
(shortly after the 2026 Winter Olympics).
Granulocyt
Z Multimediaexpo.cz
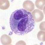
Granulocyt je druh bílých krvinek, který v cytoplazmě své buňky obsahuje granula.[1] Jejich jádro je velmi proměnlivé (polymorfní), a tak jsou někdy nazývány i polymorfonukleární leukocyty (PMN, PML). Obecně se ale dá říci, že je jejich jádro rozdělené do tří segmentů. Granulocyty vznikají v kostní dřeni. Existují tři hlavní skupiny granulocytů. V běžném hovoru se ale granulocytem myslí především neutrofilní granulocyt, který je z nich nejběžnější. Bílé krvinky, které nejsou granulocyty, se označují jako agranulocyty (k nim patří monocyty a lymfocyty).
Obsah |
Klasifikace granulocytů
Existují tři druhy granulocytů, které se dají rozlišit Wrightovým barvením:
- Neutrofilní granulocyty (neutrofil, mikrofág)
- Eosinofilní granulocyty (eosinofil)
- Basofilní granulocyty (bazofil)
Jména jsou odvozená od výsledku Wrightova barvení. Například granula neutrofilních granulocytů se barví neutrálně.
Patologické stavy
- Granulocytopenie, agranulocytóza: abnormálně snížené množství granulocytů v krvi, někdy až na nulu. Tím se snižuje odolnost organismu vůči infekcím.
- Neutropenie: snížené množství neutrofilů
- Granulom: ohraničený zánět, obsahující granulocyty
Reference
Externí odkazy
| Náklady na energie a provoz naší encyklopedie prudce vzrostly. Potřebujeme vaši podporu... Kolik ?? To je na Vás. Náš FIO účet — 2500575897 / 2010 |
|---|
| Informace o článku.
Článek je převzat z Wikipedie, otevřené encyklopedie, do které přispívají dobrovolníci z celého světa. |
Chybná citace Nalezena značka
<ref> bez příslušné značky <references/>.


