Návštěvnost dne 8. března 2026 byla — 612 557 unikátních návštěvníků !
Návštěvnost dne 9. března 2026 byla — 590 729 unikátních návštěvníků !
Návštěvnost dne 10. března 2026 byla — 657 697 unikátních návštěvníků !
Mikrocefalie
Z Multimediaexpo.cz
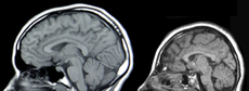
Mikrocefalie je těžká vývojová porucha projevující se zakrněním/předčasným ukončením růstu mozku a obvykle i celé hlavy.
Je příznakem řady závažných onemocnění, zejména genetických – například Cri du chat.
Další příčinou může být infekce matky virem zika během těhotenství. Hlavním příznakem je malý obvod lebky. Postižené děti mají obvykle také menší mozek. Mikrocefalie je často spojena s duševní a tělesnou poruchou. [1]
U stopkovýtrusných hub se tento pojem používá pro tvorbu zakrnělých plodnic či klobouků, k čemuž může docházet při rozličných virových infekcích.
Reference
- ↑ www.anamneza.cz [online]. www.anamneza.cz, [cit. 2016-01-28]. Dostupné online.
Externí odkazy
|
|
| Náklady na energie a provoz naší encyklopedie prudce vzrostly. Potřebujeme vaši podporu... Kolik ?? To je na Vás. Náš FIO účet — 2500575897 / 2010 |
|---|
| Informace o článku.
Článek je převzat z Wikipedie, otevřené encyklopedie, do které přispívají dobrovolníci z celého světa. |
