The final launch of the Allmultimedia.org will take place on February 24, 2026
(shortly after the 2026 Winter Olympics).
Dovolená : 23. prosinec 2025 — 29. prosinec 2025
Holidays : December 23, 2025 — December 29, 2025
Skiagrafie
Z Multimediaexpo.cz
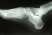
Skiagrafie je technika zobrazení lidských tkání, využívající rozdílnou hodnotu pohlcení procházejícícho svazku rentgenového záření v různých tkáních. Ze získaného obrazu pak lze ohodnotit jednak vnitřní stavbu vyšetřovaného orgánu, jednak jeho případná poranění. Pokud je obraz orgánu pouze pozorován bez zachycení na film nebo jiné záznamové médium, mluvíme o skiaskopii. Nejčastěji je skiagrafie využívána pro vyšetření kostí a zubů. Dříve časté (i screeningové) snímkování plic je nahrazováno jinými metodami. Pro skiagrafické snímkování se používají speciální rtg. filmy s výrazně silnější emulzní vrstvou a vyšším podíílem halogenidů stříbra. Tím je zajištěn požadovaný vyšší kontrast, zlepšující citlivost metody. Filmy jsou ukládány do skiagrafických světlotěsných kazet. Kazeta je na povrchu opatřena nosičem symboliky – vhodně přizpůsobenými místy pro vkládání stranových a popisných kovových značek, identifikujících jednak snímek, jednak jeho orientaci. Film je vyvoláván vysoce koncentrovanou vývojkou, opět s cílem získání nejvyššího možného kontrastu. Vzhledem k tomu, že skiagrafické přístroje jsou (kromě úzce specializovaných zařízení) navrhovány jako univerzální, pracují s vysokoenergetickými rentgenkami a pro snížení radiační zátěže obsluhy i pacientů je nutné používat filtrování a clonění rtg svazku. Primární filtr bývá umístěn blízko rentgenky a slouží pro pohlcování nízkoenergetických fotonů, sekundární (Buckyho) filtr se umisťuje mezi pacienta a filmovou kazetu, kde funguje jako past na rozptýlené fotony – propouští pouze záření ve směru rentgenka-film.
| Náklady na energie a provoz naší encyklopedie prudce vzrostly. Potřebujeme vaši podporu... Kolik ?? To je na Vás. Náš FIO účet — 2500575897 / 2010 |
|---|
| Informace o článku.
Článek je převzat z Wikipedie, otevřené encyklopedie, do které přispívají dobrovolníci z celého světa. |
