Návštěvnost dne 8. března 2026 byla — 612 557 unikátních návštěvníků !
Návštěvnost dne 9. března 2026 byla — 590 729 unikátních návštěvníků !
Návštěvnost dne 10. března 2026 byla — 657 697 unikátních návštěvníků !
Šťavelan vápenatý
Z Multimediaexpo.cz
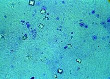
Šťavelan vápenatý (též oxalát vápenatý) je organická sloučenina tvořící jehličkovité krystaly. Chemický vzorec látky je CaC2O4 nebo Ca(COO)2.
Obsah |
Výskyt
Velké množství šťavelanu vápenatého se nachází v jedovaté rostlině diffenbachii. Je obsažen také v listech rebarbory, různých druzích šťavelu (Oxalis), v árónovitých, kolokázii jedlé a v agáve, v malých množstvích také ve špenátu. Nerozpustné krystaly šťavelanu vápenatého jsou přítomny ve stonku, kořenech a listech. Šťavelan vápenatý je také vylučován velkými houbami, jeho krystaly se nacházejí jak v plodnicích, tak i na hyfách hub v půdě. Šťavelan vápenatý je hlavní složkou pivního kamene, nahnědlé sraženiny, která má tendenci se hromadit v nádržích, sudech a jiných zásobnících používaných při vaření piva[1]. Pivní kámen se skládá z vápenatých a hořečnatých solí a z různých organických látek vznikajících při procesu vaření piva. Podporuje růst nechtěných mikroorganismů, které mohou nepříznivě ovlivnit nebo úplně zničit chuť celé várky piva.
Krystaly šťavelanu vápenatého v moči jsou nejčastější příčinou ledvinových kamenů u lidí, tvorba těchto krystalů je také jedním z toxických účinků při otravě ethylenglykolem.
Šťavelan vápenatý se přirozeně vyskytuje v podobě tří minerálů: whewellit (monohydrát, známý například z uhelných slojí), weddellit (dihydrát), a velmi zřídka také jako trihydrát nazývaný caoxit.
Účinky při požití
Již malé dávky šťavelanu vápenatého jsou dostatečné, aby způsobily silný pocit pálení v ústech a jícnu, otok a dušení. Ve větších dávkách však šťavelan vápenatý způsobuje vážné zažívací potíže, problémy s dýcháním a – při silné dávce – křeče, kóma a smrt. Z těžké otravy šťavelanem se lze zotavit, může ale dojít k trvalému poškození jater a ledvin.
Nejsilnější reakce vyvolává stonek dieffenbachie. Jehličkovité krystaly způsobují bolest a edém při kontaktu se rty, jazykem, ústní sliznicí, spojivkou a kůží. Příčinou edému je primárně přímé poškození způsobené krystaly, v menší míře také jiné rostlinné toxiny (bradykininy, enzymy atd.).
Léčba
Je nezbytná okamžitá lékařská pomoc. Ohrožení průchodnosti dýchacích cest závisí na druhu požité rostliny, od mírného (kolokázie jedlá, Colocasia esculenta) po vážnější (ariséma Arisaema). Jediný lusk arisémy způsobí okamžitý otok a pálení. Tento otok ustoupí až za více než 12 hodin. Pro léčbu v rámci lékařské první pomoci je indikován Benadryl, Epinefrin a Pepcid, vždy nitrožilně. Přestože jde především o lokální reakci, léčí se jako reakce anafylaktická.
Související články
Reference
- ↑ JOHNSON, Dana. Removing Beerstone [online]. Birko Corporation R&D, 1998-03-23, [cit. 2007-08-06]. (Modern Brewery Age.) Dostupné online.
| Náklady na energie a provoz naší encyklopedie prudce vzrostly. Potřebujeme vaši podporu... Kolik ?? To je na Vás. Náš FIO účet — 2500575897 / 2010 |
|---|
| Informace o článku.
Článek je převzat z Wikipedie, otevřené encyklopedie, do které přispívají dobrovolníci z celého světa. |
