Myelin
Z Multimediaexpo.cz
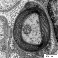
Myelin je lipoprotein, tvořící díky několikerému natočení lipidové dvojvrstvy buněčných membrán příslušných buněk kolem axonů (neuritů) neuronů obaly známé jako myelinové pochvy. Je jednou ze základních složek bílé hmoty mozku a míchy a je příčinou její bílé barvy. Jeho existence a správná distribuce (myelinizace) je nezbytnou podmínkou řádného fungování centrální (CNS) i periferní (PNS) nervové soustavy.
V prvním (iniciálním) úseku je axon obnažen, až v dalším jej u nemylienizovaných vláken obklopí Schwannova pochva, u myelinizovaných pak i myelinová pochva. Základem tukové složky jsou cerebrosid, sfingomyelin a cholesterol. Neurony CNS vytvářejí pochvu pomocí oligodendrocytů, kdy jeden oligodendrocyt slouží až pro 40 centrálně vedoucích axonů[1], postgangliová vlákna autonomního nerstva jsou vybavena pouze pochvou Schwannovou. V PNS ji tvoří Schwannovy buňky a pochva je zde přerušována Ranvierovými zářezy, ve kterých jsou koncentrovány mitochondrie. V těchto odhalených místech může docházet k větvení axonu.
Myelinová pochva funguje jako izolant a čím je vlákno silnější, tím jsou myelinové segmenty mezi zářezy delší, což urychluje vedení vzruchu. Rozdíly v rychlosti vedení jsou mezi nemyelinizovanými a silnými myelinizovanými vlákny až o dva řády ve prospěch druhých jmenovaných.[2] Byl objeven v roce 1854 německým patologem a biologem Rudolfem Virchowem.
Literatura
- Mysliveček, Jaromír; Myslivečková-Hassmanová, Jarmila: Nervová soustava - Funkce, struktura a poruchy činnosti, vydalo Avicenum, Praha 1989.
Poznámky
- ↑ Mysliveček, Jaromír; Myslivečková-Hassmanová, Jarmila: Nervová soustava - Funkce, struktura a poruchy činnosti, vydalo Avicenum, Praha 1989, s. 12.
- ↑ Mysliveček, Jaromír; Myslivečková-Hassmanová, Jarmila: Nervová soustava - Funkce, struktura a poruchy činnosti, vydalo Avicenum, Praha 1989, s. 28.
Externí odkazy
| Náklady na energie a provoz naší encyklopedie prudce vzrostly. Potřebujeme vaši podporu... Kolik ?? To je na Vás. Náš FIO účet — 2500575897 / 2010 |
|---|
| Informace o článku.
Článek je převzat z Wikipedie, otevřené encyklopedie, do které přispívají dobrovolníci z celého světa. |

