Návštěvnost dne 8. března 2026 byla — 612 557 unikátních návštěvníků !
Návštěvnost dne 9. března 2026 byla — 590 729 unikátních návštěvníků !
Návštěvnost dne 10. března 2026 byla — 657 697 unikátních návštěvníků !
Vzteklina
Z Multimediaexpo.cz
m (Nahrazení textu „Aristoteles“ textem „Aristoteles“) |
m (1 revizi) |
Verze z 23. 6. 2013, 11:50
Vzteklina (též rabies, běsnění, lyssa) je akutní virové onemocnění centrálního nervového systému (CNS) mnoha zvířat a lidí. Virus vztekliny se přenáší slinami, tedy v praxi nejčastěji pokousáním. Nemoc se projevuje změnami chování, zvýšenou dráždivostí, agresivitou, parézami a paralýzami. Jakmile nemoc propukne, končí téměř vždy smrtelně. Při podezření na infekci virem vztekliny je napadený člověk očkován a choroba vůbec nemusí propuknout. Léčba v pozdějších stádiích nemoci je teprve v počátcích. O vzteklině existují doklady již 5 000 let a dnes se vyskytuje téměř na celém světě. V ČR se na konci osmdesátých let zavedla orální vakcinace lišek a v roce 2004 byla díky tomu Česká republika prohlášena za nákazy prostou zemi, nepočítaje několik nálezů infikovaných netopýrů.
Obsah |
Původce onemocnění
Původcem vztekliny je RNA virus z rodu Lyssavirus z čeledi Rhabdoviridae, přičemž na světě existuje celkem 6 různých sérotypů viru.
Vnímavost k onemocnění
Vnímaví jsou všichni teplokrevní živočichové. V našich podmínkách je nejvnímavější k onemocnění liška, dále pak pes, skot, kočka, jezevec, netopýr. Vnímavost jednotlivých druhů závisí na sérotypu viru. V Evropě je hlavním rezervoárem vztekliny liška obecná a netopýři, méně již pak psi či další zvířata. Lišky, vlci, šakali a domácí psi představují rezervoár vztekliny na Asijském kontinentu, v Africe jsou to pak promyky, hyeny, šakal a antilopa kudu. V Severní Americe je to především skunk, mýval, kojot a netopýři, ve Střední a Jižní Americe pak upíři. U ptáků je vzteklina velmi sporadická, většina ptačích druhů je prakticky nevnímavá. Ptáci nejsou považováni za přirozeného hostitele ani za součást infekčního řetězce. Přestože starší publikace uvádějí vznik spontánního onemocnění u drůbeže po pokousání liškou, ptáci onemocní jen výjimečně a s atypickým průběhem (spíše parézy než excitační příznaky). Experimentálně lze vyvolat vysokými dávkami viru vztekliny pouze přechodné a lehké porušení všeobecného zdravotního stavu, bez vylučování viru do okolí. Zatím nebyl zaznamenám případ vzniku vztekliny u lidí od ptáků. Izolace viru vztekliny byly popsány u káně lesní, jestřába lesního, luňáka červeného, kachen a sovy pálené (Gylstorffová, 1994). Experimentální infekce byly úspěšné u jestřábů, sokolů, krkavců, zpěvných ptáků,holubů, husí, kachen, kura domácího a pávů. Protilátky proti viru vztekliny byly zjištěny u volně žijících populací raroha prériového, jestřába lesního, orla skalního, kalouse pustovky, havranů, krkavců a špačků (Gough ak., 1975).[1][2]
Historie nemoci
Vzteklina je jednou z nejstarších známých onemocnění člověka. Nemoc je známa a doložená od 3000 př. n. l. Už ze starověkého Egypta pocházejí důkazy o této smrtelné chorobě v podobě fresek znázorňujících „vzteklé“ lidi a psy. První písemné záznamy o vzteklině pocházejí už ze starověkého Babylonu z 23. století před naším letopočtem.[3] Staří Řekové i Římané znali vzteklinu; latinský název pro vzteklinu s největší pravděpodobností pochází se sanskrtu, ze slova rabhas – páchat násilí, řecké pojmenování – lyssa – je zase odvozeninou od slova lud - násilí. Vzteklina je zmíněna v i Ilias: egyptský bůh Sirius měl podobu šíleného psa (počty vzteklých šakalů stoupaly v létě, kdy vycházelo právě souhvězdí Velkého psa). Bohyně Artemis prý měla mít sílu léčit vzteklinu. Vzteklinou se zabývali Démokritos i Aristoteles, ten však odmítal spojitost mezi kousnutím vzteklého psa a onemocněním u člověka. V prvním století našeho letopočtu se vzteklinou zabýval římský lékař Aulus Cornelius Celsus; od něj pochází první popis průběhu vztekliny u člověka, Celsus také odhalil kousnutí nemocného psa jako prvotní příčinu onemocnění a doporučil i „léčbu“ vztekliny – vypálení rány rozžhaveným železem a ponořením pokousaného do studené vody. Tento způsob ošetřování ran způsobených nemocným zvířetem, společně s „desinfekcí“ kyselinou dusičnou, přetrval až do 18. století. Jako léčebné prostředky byla doporučována také konzumace jater vzteklého psa, račích očí, kohoutích mozků nebo hřebínků. Ve středověku byl za příčinu vztekliny považován např. mráz, vysoká teplota, konzumace příliš horké potravy, žízeň, hlad, některé atmosférické jevy, kolísání teploty, nebo, což je pochopitelné, démonický původ. Vlkodlaci a upíři jsou pravděpodobně aspoň částečně produktem lidského strachu ze vztekliny.[4][5] Většina procesů s nimi spadá do období epidemií vztekliny: v roce 1271 vypukla epidemie vztekliny ve Francii, v roce 1500 ve Španělsku, 1586 ve Flandrech, Rakousku, Maďarsku a Turecku, 1604 v Paříži, 1721–1728 na Balkáně. „Léčba“ proto spočívala nanejvýš ve vymítání, nemocní většinou končili na hranici.
Během renesance se sice vyskytlo několik publikací o vzteklině – roku 1546 Girolamo Fracastoro popsal klinické stadium vztekliny i způsob přenosu,[6] Saluis z Bologne se rovněž zabýval vzteklinou, ale mezi obyčejnými lidmi nadále přetrvávala víra v nadpřirozený, ďábelský původ vztekliny.
Zprávy o vzteklině v Novém světě pocházejí už z počátku 16. století, kdy mnich Petrus Anglerius zaznamenal případy šílenství španělských vojáků po kousnutí netopýrem, v roce 1709 se o tomtéž zmiňuje Fray Jose Gil Ramirez. V roce 1804 německý vědec Zinke poprvé dokazuje přenos vztekliny pomocí slin z nemocného psa na zdravého, v roce 1813 Francois Magenlie a Gilbert Breochut úspěšně přenesli vzteklinu z nemocného člověka na psa, v roce 1879 Victor Galtier přenesl vzteklinu z psa na králíka a z něj na jiného psa. Roku 1881 členové Pasteurova týmu, Roux, Chamberlain, Thuillier dokázali, že původce se nachází v CNS a přenesli vzteklinu injekcí nervové tkáně nemocného zvířete. Poté bylo zjištěno, že virulence původce se vytrácí zhruba po 15 dnech – vakcínou ze sušené králičí míchy bylo 50 psů úspěšně chráněno proti vzteklině. 6. června 1885 byl po mnohačetném pokousání vzteklým psem očkován Joseph Meister, který se tak stal prvním zachráněným člověkem. V průběhu následujících 15 měsíců pak bylo naočkováno dalších 2500 lidí. Z 19. století jsou dokumentovány případy vztekliny psů a koček a dalších zvířat na území Čech a Moravy. Ve dvacátých letech minulého století bylo ročně laboratorně potvrzeno 400-600 případů vztekliny. Z toho připadalo 86 % na psy. V období 1919-1937 zemřelo na vzteklinu jen v Československu celkem 132 lidí a téměř 25 000 jich bylo léčebně očkováno v Pasteurově ústavu v Praze. V ČR je od roku 1953 povinné očkování psů, což nákazovou situaci podstatně změnilo a těžiště nákazy se přesunulo do volné přírody. Poslední prokázané nakažení člověka vzteklinou v ČR bylo v 60. letech minulého století na Kroměřížsku, v roce 1993 byl původce nákazy „dovezen“ z Asie.
Rozšíření nemoci
Ve světě
Vzteklina je rozšířena téměř na celém světě. Za země vzteklinou nezasažené se považuje Velká Británie, Irsko, Austrálie a některé další ostrovy a souostroví (např. Guam). Nicméně ve Velké Británii byly popsány případy netopýrů nakažených evropským netopýřím virem, který je příbuzný viru vztekliny, a jeden člověk na následky pokousání netopýrem zemřel.[7] Podobně v Austrálii se u kaloňů vyskytuje australský netopýří virus. Zeměmi, které jsou v současnosti vztekliny prosté, jsou Skandinávie, Španělsko, Portugalsko, Řecko, Japonsko, Nový Zéland, Guyana, Albánie, Kypr, Island, Uruguay a Libye.
V ČR
V osmdesátých letech 20. století dosáhla vzteklina největšího geografického rozšíření. S výjimkou několika okresů byla rozšířena na celém území ČR. Maximální výskyt byl zaznamenán v roce 1984, celkem 2232 případů, z toho 2052 bylo u lišek.[8] Přes určitý pokles počtu případů v dalších letech byla situace nadále nepříznivá. Výrazný posun v tlumení vztekliny volně žijících zvířat přinesla orální imunizace lišek zaváděná v osmdesátých létech v řadě západních evropských zemí. Princip spočívá v podání očkovací látky ukryté v plastikové ampulce uvnitř vhodné návnady. Při konzumaci návnady a prokousnutí plastikového obalu přichází živý očkovací virus do styku se sliznicí dutiny tlamy a hltanu a navodí stav imunity. Od zavedení orální vakcinace v roce 1989 měl výskyt vztekliny v ČR výrazně sestupnou tendenci. Již v roce 1995 poklesl celkový počet pozitivních nálezů o 88 % ve srovnání s výchozím rokem. Tento příznivý trend pokračoval s mírnými výkyvy v následujících létech. V roce 2001 bylo registrováno již jen 35 případů[8] a v roce 2002 pouze 3 případy vztekliny u lišek v okrese Trutnov.[8] Od této doby nebyla již vzteklina na našem území diagnostikována. ČR tak splnila kritéria pro přiznání statutu nákazy prostého státu. Tato skutečnost byla deklarována ve věstníku OIE Disease Information č. 30 z 23. června 2004. Také v roce 2004 zůstalo území ČR vztekliny prosté. V květnu 2005 byla v okrese Vyškov diagnostikována vzteklina u netopýra hvízdavého (Pipistrellus pipistrellus).[8] U nás se jedná historicky o čtvrtý případ vztekliny netopýra, když první výskyt byl v roce 1994 a další dva případy v roce 1999. Vzteklina netopýrů (jedná se opět o evropský netopýří virus) je považována za specifickou variantu nákazy a jejím výskytem není dotčen statut vztekliny prostého státu dle kritérií OIE. U pozemních obratlovců se vzteklina v ČR nadále nevyskytuje a nebyla registrována ani v letech 2005 a 2006.
Vznik a průběh nemoci
Virus je vylučován prakticky jen slinami, přičemž ve slinách se vyskytuje 3-5 dní před prvními klinickými příznaky. K infekci dochází většinou poraněnou kůží - hlavně pokousáním. Ve svalovině v místě pokousání se virus částečně pomnoží a šíří se nervovými drahami (tzv. „axonálním transportem“) do CNS. Tam se virus začne výrazně množit, způsobí nehnisavou meningoencefalitidu a dojde ke klinickým příznakům. Inkubační doba je v průměru 2 - 4 týdny (max. 15 měsíců u koně, min. 5 dnů u psa) a je závislá na množství viru, místě pokousání (čím blíže mozku, tím rychlejší nástup), kmenu viru a vnímavosti zvířete (resp. imunitní stav hostitele). Z CNS se šíří virus dále do slinných žláz, rohovky a parenchymatózních orgánů. K infekci u ptáků (která je poměrně vzácná) může dojít pokousáním, např. liškou, nebo pozřením infikované kořisti. U dravců se připouští možnost kontaminace zobáku a pařátů od infikovaných a uhynulých divoce žijících zvířat. Virus se šíří z místa poranění endoneurálními lymfatickými cévami do CNS. Neutralizační protilátky vznikají u ptáků velmi rychle a neutralizují virus vztekliny uvolňovaný z nervových buněk. Tím se u ptáků vysvětluje vznik pouze místně omezené infekce i jejich rychlé uzdravení.[2][1]
Klinické příznaky
U zvířat
- Zuřivá forma (nejčastější)
- 1. stádium počáteční (prodromální, melancholické)- trvá 1 - 3 dny nastupují změny chování, apatie, deprese, paréza hltanu (nemožnost polykat, slinotok).
- 2. stádium excitační (iritační)- trvá 3 dny, nastupuje agresivita, nemocné zvíře napadá jiná zvířata či lidi, vrhá se na stěny, okusuje nebo požírá nepoživatelné předměty (např. kameny), objevuje se silné svědění (zvířata se škrábou až do masa), šilhání, anisokorie (= nestejně rozšířené zornice) a paralýza hlasivek. Typické je narušení reflexů hlavových nervů a obrna lícního nervu.
- 3. stádium paralytické - trvá 4 - 5 dní, nastává ochrnutí pánevních končetin, močového měchýře, konečníku, hrudních končetin a následný úhyn; teplota zpočátku 40 - 40,5 °C, později pokles pod normál.
Výše popsané jsou typické příznaky průběhu vztekliny běžného u většiny zvířat, kromě toho však vzteklina může probíhat jako tzv:
- Tichá forma - excitační stádium chybí, nebo je nevýrazné, převládá deprese a paralýza.
- Atypická forma - chronický průběh, hubnutí, atrofie svalstva, zánět žaludku a střev.
- Abortivní forma - zcela výjimečně, uzdravení zvířete bez jakýchkoliv příznaků.
- Recidivní forma - návratná.
- Smíšená forma - kombinace předchozích.
U zvířat chybí hydrofobie (známá u vztekliny lidí). U lišek, ale i jiných volně žijících šelem bývá naopak typický jev, že jedince uhynulé na vzteklinu lze najít v blízkosti vodních zdrojů či přímo v nich. Je to dáno tím, že lišky, které jsou v počátečním stádiu dehydratované, vyhledávají vodu. Klinické příznaky u ptáků přirozeně i experimentálně infikovaných začínají rovněž krátkým excitačním obdobím, které se projevuje vyskakováním, křičením, pokusy vzlétnout, agresivitou vůči lidem a epileptiformními záchvaty, a pokračuje ataxií, slabostí končetin, padáním na bok a konečně paralýzou hlavy a krku. V průběhu dalších dnů mohou být pozorovány netečnost, ospalost, nezájem, nutkavé pohyby a úhyn. Někteří ptáci se mohou spontánně uzdravit.[2][1]
U lidí
V rozvojových zemích ročně vzteklinou onemocní až 55 000 lidí.[9] Inkubační doba trvá 10 dnů až 6 měsíců a stejně jako u zvířat je závislá na infekční dávce, kmenu viru, vnímavosti a místě pokousání. Projevuje se atypickým chováním, v němž se projevují absence strachu, záchvaty zuřivosti, bolest při použití motorického svalstva, nadměrná produkce slin, křeče, nadměrná vzrušivost (pohyb v místnosti, jediné šplouchnutí vody či i jen pohled na ni a představa zvuku šplouchnutí či nutnosti ji polknout vyvolá prudkou reakci - viz alternativní jméno hydrofobie) a další poruchy osobnosti. Zmiňovaná hydrofobie je následek ochrnutí polykacích svalů. Smrt nastává v kómatu za současné paralýzy všech svalů.
Léčba a prognóza u lidí
Primární formu „léčby“ představuje očkování pokousaného jedince, v případě, že jsou pochybnosti o nakažení inkriminového zvířete, může lékař den počkat, bude-li odchyceno a vyšetřeno. Pokud se tak nestane, respektive stane a vzteklina je potvrzena, je zahájeno očkování napadeného člověka. K očkování je možno přikročit i později, obvykle má nakažený slušné šance, začne-li se do týdne po pokousání, nicméně riziko neúspěchu s rostoucí prodlevou stoupá. Pokud očkování uspěje, imunizovaný organismus zlikviduje infekci dříve, než pronikne do mozku. Šance na zabránění propuknutí choroby klesají s rostoucí prodlevou mezi pokousáním a první injekcí. První očkování zavedené Louisem Pasteurem představovalo 14 dávek vakcíny, současná moderní metoda používá jednu dávku séra a 5 dávek vakcíny. Propuknutí choroby až donedávna představovalo rozsudek smrti. V poslední době však experimentální medicína vyvinula nové léčebné postupy, jejichž hlavním principem je umělé navození kómatu a aplikace silných dávek virostatik a látek chránících mozek. Prvním a zatím jediným pacientem, na němž byla úspěšně vyzkoušena, je patnáctiletá Jeanna Giese z Wisconsinu, která se tak stala zatím jediným známým člověkem, který byl nakažen vzteklinou a přežil, aniž by byl očkován (je známo dalších 6 lidí, u kterých se objevily klinické příznaky vztekliny a přežili, nicméně ve všech případech byli očkovaní[10]). Jedná se o dlouhodobý a nákladný léčebný proces vyžadující navíc dlouhou rekonvalescenci. Celý postup dosud nebyl náležité vyzkoušen, takže ho nelze dostatečně zhodnotit, jeho finanční nákladnost navíc prakticky vylučuje, aby se v nejbližších desetiletích rozšířil mimo nejbohatší země světa, každopádně ale představuje novou naději. Otázkou však je, nakolik velkou - pokus napodobit tento léčebný postup v případě šestnáctiletého Zacharyho Jonese (květen 2006) se nesetkal s úspěchem. Mluvčí dětské nemocnice v Houstonu uvedla, že hoch byl přijat již s mnohem rozvinutější chorobou.[11] Terapie u zvířat se neprovádí.
Epizootologie
Z epizootologického hlediska se rozeznávají dvě formy vztekliny: sídlištní (urbánní), kde je hlavním zdrojem nákazy pes a kočka, a sylvatická (lesní), při které je zdrojem liška, jezevec, kuna nebo netopýři.
Diagnostika
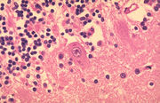
Základní metodou diagnostiky vztekliny u zvířat i lidí je nepřímá imunofluorescence, která se dělá z otisků řezů mozku (Amonův roh). Imunofluorescencí se prokazují virové antigeny přímo ve tkáni nakaženého jedince, je vysoce senzitivní a specifická a také relativně rychlá, přesná a levná. Jedná se ovšem o postmortální způsob diagnostiky a nedá se použít při diagnostice vztekliny u lidí (jedině jako metoda potvrzení po úmrtí pacienta). V minulosti se dělaly také histologické řezy, u nemocných se často vyskytovaly typické intracytoplasmatické inkluze (tvořené virovými proteiny) zvané Babes-Negriho tělíska. Nejčastěji se tvoří v Purkyňových a pyramidálních buňkách Amonova rohu. Přestože jsou patognomickým znakem pro vzteklinu, od použití histologie se v diagnostice vztekliny upustilo, jejich nepřítomnost totiž vzteklinu ani zdaleka nevylučuje. Biologický pokus, při kterém se suspenze z vyšetřované tkáně inokuluje 3-5 denním myškám a následně se provádí nepřímá imunoflourescence z jejich mozkové tkáně, se provádí vždy v případě pokousání člověka. Intravitální metody jsou méně přesné a specifické a používají se jenom u lidí (zvířata, u kterých je vážné podezření na vzteklinu jsou utracena a vyšetřena imunofluorescencí). Používají se otiskové preparáty z rohovky, které se vyšetřují pomocí IF, izolace viru ze slin nemocného a sérologické průkazy protilátek v krvi nebo mozkomíšním moku. PCR slouží k průkazu virové RNA. Negativní výsledky však vzteklinu nevylučují.
Diferenciální diagnostika u zvířat
Při diagnostice vztekliny je třeba vyloučit všechny encefalopatie infekčního či neinfekčního původu, jež se projevují nějakými nervovými příznaky. Konkrétně je třeba odlišit:
- u skotu - Aujeszkyho choroba, BSE;
- u ovcí - scrapie, Aujeszkyho choroba; Louping ill
- u psů - psinka, Rubarthova choroba, Aujeszkyho choroba, Surra, atd.
Z neinfekčních nemocí je to například otrava strychninem či olovem.
Veterinární legislativa
Každý pes, který pokousal člověka, musí být majitelem předveden na veterinární vyšetření a to v den pokousání a poté 5. den od pokousání. Termín druhého vyšetření je stanoven právě kvůli tomu, že virus se vylučuje do slin 2-4 dny před prvními klinickými příznaky. Nejeví-li pes žádné nervové příznaky ani 5. den po pokousání je možnost přenosu infekce na člověka vyloučena. Každý pes na území ČR starší 6 měsíců musí být povinně vakcinován proti vzteklině a poté revakcinován dle příbalového letáku vakcíny.[12] U koček není vakcinace povinná.
Opatření proti výskytu
Každoročně se ve vytipovaných lokalitách provádí orální vakcinace lišek (a to i přesto, že ČR je od 2004 vztekliny prostá). Vakcinace se provádí kladením vakcín zabalených v návnadě z rybího tuku (letecky či ručně), zhruba 12-15 návnad na km². Toto kladení se v ČR již v roce 2010 neprovádělo a nadále ani neprovádí. Prevenci proti vzteklině u lidí představuje podávání vakcíny lidem v rizikových profesích, očkování domácích zvířat a vyhýbání se neznámým zvířatům. V ČR a většině vyspělých států je standardem očkování každého člověka, kterého pokousala volně žijící šelma nebo pes a kočka, a u něhož není možné jednoznačně vyloučit vzteklinu (zpravidla proto, že zvíře se nepodařilo zavčas odchytit). Očkování při důvodném podezření na infekci vzteklinou patří k jednomu z mála úkonů, které pacient v Česku nemůže odmítnout.
Odkazy
Související články
|
Literatura
- Státní veterinární správa ČR, vzteklina v ČR, Zdeněk Zelenka a kolektiv
- OIE-World organisation for animal health
- Vařejka F., Mráz O. a Smola J. 1989. Speciální veterinární mikrobiologie. Státní zemědělské nakladatelství. Praha. ISBN 80-209-0042-X
Reference
- ↑ 1,0 1,1 1,2 JURAJDA, Vladimír. Nemoci drůbeže a ptactva – virové infekce. 1. vyd. Brno : ES VFU Brno, 2002. 184 s. ISBN 80-7305-436-1.
- ↑ 2,0 2,1 2,2 RITCHIE, B.W. et al. Avian Medicine: Principles and Application. Florida, USA : Wingers Publ., 1994. 1384 s. ISBN 0-9636996-5-2. (anglicky)
- ↑ WHO - Rabies
- ↑ Personal MD - Rabies May Have Inspired Vampire Legend
- ↑ Werevolves: The myths and the truths
- ↑ Bernard N. Fields, David Mahan Knipe, Peter M. Howley, Diane E. Griffin. Fields' virology. [s.l.] : [s.n.]. Dostupné online.
- ↑ BBC news: Man dies from rabies after bat bite
- ↑ 8,0 8,1 8,2 8,3 Státní veterinární správa ČR, vzteklina v ČR
- ↑ WHO - Rabies
- ↑ CDC Rabies
- ↑ Medpage Today Rabies Kills Texas boy, 16
- ↑ ZÁKON ze dne 13. července 1999 o veterinární péči a o změně některých souvisejících zákonů
| Náklady na energie a provoz naší encyklopedie prudce vzrostly. Potřebujeme vaši podporu... Kolik ?? To je na Vás. Náš FIO účet — 2500575897 / 2010 |
|---|
| Informace o článku.
Článek je převzat z Wikipedie, otevřené encyklopedie, do které přispívají dobrovolníci z celého světa. |
