The final launch of the Allmultimedia.org will take place on February 27, 2026
(shortly after the 2026 Winter Olympics).
Rentgenové záření
Z Multimediaexpo.cz
Rentgenové záření je forma elektromagnetického záření o vlnových délkách 10 nanometrů až 100 pikometrů (odpovídající frekvencím 30 PHz až 6 EHz). Využívá se při lékařských vyšetřeních a v krystalografii. Jedná se o formu ionizujícího záření a jako takové může být nebezpečné.
Obsah |
Fyzika a chemie
Záření vlnové délky větší než 0,1 nm je nazýváno měkké a kratší tvrdé rentgenové záření. Vlnové délky nejenergičtější části se částečně překrývají s těmi záření gama, avšak rozlišujeme je dle původu. Foton rentgenového záření vzniká při interakcích vysoce energického elektronu, kdežto záření gama při procesech uvnitř jádra atomu. Rentgenové záření je též využíváno v analytické chemii. Částice látky jsou ionizovány rentgenovým zářením. Vzniklé sekundární rentgenové záření, které je charakteristické pro prvky, je analyzováno detektorem a přiřazeno konkrétním prvkům, ze kterých se analyzovaná látka skládá. Tato analytická metoda se nazývá rentgenfluorescenční spektroskopie. Rentgenové záření vzniká například v rentgence. Rentgenka se skládá ze skleněné vakuované trubice se zabudovanou katodou a anodou, většinou z wolframu. Elektrony se z katody uvolní po jejím nažhavení a po vložení anodového napětí vylétnou z katody na anodu. Tam různým způsobem interagují s materiálem anody:
Typy rentgenového záření
Existují dva typy rentgenového záření - tzv. brzdné rentgenové záření a charakteristické rentgenové záření.
Brzdné rentgenové záření
Rychle letící elektrony se po dopadu na terč brzdí a dochází ke změně jejich dráhy. Energie, kterou elektrony při průchodu terčem ztratily, se vyzáří ve formě tzv. brzdného rentgenova záření. Toto záření je charakteristické širokým, spojitým energetickým spektrem. Čím je větší energie (rychlost) elektronů, tím tvrdší záření vzniká. Energie brzdného rentgenova záření nezávisí na materiálu terče (např. anody rentgenovy trubice), ale jen na rychlosti elektronů (tedy na velikosti napětí na anodě rentgenovy trubice). Elektrony ale mohou být urychleny i jiným způsobem - v urychlovačích částic např. v tzv. lineárním urychlovači, betatronu, mikrotronu, u nichž se dosahuje výrazně vyšších energii než u rentgenovy trubice. Energie záření se udává zpravidla v elektronvoltech (eV). Brzdné záření se používá v lékařské diagnostice a v radioterapii, v průmyslu v defektoskopii.
Charakteristické rentgenové záření
Charakteristické rentgenové záření se používá v analytické chemii, protože jeho energie nezávisí na anodovém napětí, ale jen na materiálu anody. Takové rentgenové záření je charakteristické pro konkrétní prvek; jeho energie je tím vyšší, čím vyšší je protonové číslo materiálu anody. Rychle letící elektron v tomto případě odevzdá svou kinetickou energii elektronu vnitřní slupky atomového obalu materiálu anody až dojde k jeho excitaci nebo ionizaci. Následný návrat do základního energetického stavu je spojen s vyzářením fotonu charakteristického rentgenového záření.
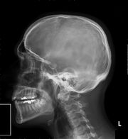
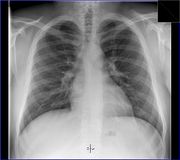
Lékařské využití
Poté, co Röntgen objevil využití pro pozorování kostních struktur, se rozvinulo jeho užívání v lékařském snímkování. Rentgenové záření může být využito pro zobrazení detailů kostí a zubů (skiagrafie), popřípadě za pomoci vhodných technik i ke zkoumání měkké tkáně (denzitografie, subtrakční skiagrafie, tomografie). Radiologie je specializovaný obor lékařství využívající rentgenového záření v diagnostice. Toto je pravděpodobně nejčastější využití rentgenového záření.
Historie
V počátcích výzkumu rentgenového záření se uplatnilo mnoho významných vědců jako Ivan Pului, sir William Crookes, Johann Wilhelm Hittorf, Eugene Goldstein, Heinrich Hertz, Philipp Lenard, Hermann von Helmholtz, Nikola Tesla, Thomas Alva Edison, Charles Glover Barkla a Wilhelm Conrad Röntgen. Fyzik Johann Wilhelm Hittorf (1824–1914) pozoroval vakuovou trubici vyzařující záření na záporné elektrodě. Toto záření způsobovalo při dopadu na stěnu trubice světélkování. Roku 1876 je Eugene Goldstein pojmenoval katodové záření. Později anglický fyzik William Crookes studoval výboje v řídkých plynech a zkonstruoval Crookesovu trubici, skleněnou trubici s elektrodami naplněnou zředěným plynem, v němž při přiložení vysokého stejnosměrného napětí dojde k výboji doprovázenému zářením. Když umístil neexponované fotografické desky nedaleko od trubice, na desce se objevily šmouhy, přestože tento efekt nechtěl zkoumat. Roku 1892 Heinrich Hertz demonstroval, že katodové záření může procházet velmi slabou kovovou překážkou (jako je hliníková destička). Philip Lenard, žák Heinricha Hertze, dále prozkoumával tento efekt. Vyvinul vlastní verzi katodové trubice a zkoumal průchod katodového záření rozličnými materiály. Přesto nezjistil, že se jedná o rentgenové záření. V dubnu 1887 Nikola Tesla začal zkoumat rentgenové záření pomocí vysokého napětí, vakuových trubic vlastní konstrukce a Crookesových trubic. Z jeho technické dokumentace plyne, že vymyslel a vyrobil trubici s jedinou elektrodou, ostatní trubice na zkoumání rentgenového záření měly dvě elektrody. Roku 1897 výsledky shrnul ve své přednášce pro New York Academy of Sciences. Umožňuje to jev dnes známý jako brzdné záření, kdy při průchodu nabitých částic (nejčastěji elektronů) látkou vzniká druhotné rentgenové záření. Okolo roku 1892 Tesla provedl několik podobných experimentů, ale nezatřídil vzniklé produkty jako to, co dnes zveme rentgenové záření, namísto toho označil celý jev jako zářivou energii. Tesla své výsledky nezveřejnil. Jeho další experimenty ho vedly k varování vědecké komunity před biologickými riziky rentgenového záření. Hermann von Helmholtz formuloval matematický popis rentgenového záření. Předpověděl disperzní teorii dříve než Röntgen provedl a zveřejnil své pokusy. Byla formulována na základě elektromagnetické teorie světla (Wiedmann's Annalen, Vol. XLVIII). 8. listopadu 1895 Wilhelm Conrad Röntgen, německý vědec, začal provádět a zaznamenávat experimenty s rentgenovým zářením ve vakuové trubici. Röntgen 28. prosince 1895 napsal předběžnou zprávu „O novém druhu paprsků“. Poslal ji do žurnálu Würzburgské lékařské společnosti. Toto je první formální a veřejně známá kategorizace rentgenového záření. Röntgen o záření psal jako o paprscích X (rozdíl mezi slovy paprsek a záření je dán rozdílnými vlastnostmi světla), neboť šlo o doposud neznámé záření, avšak mnoho kolegů se domnívalo, že by se mělo jmenovat po Röntgenovi. Tak se stalo v mnoha jazycích, například češtině, dánštině (Røntgenstråling) či němčině (Röntgenstrahlen). Röntgen za své objevy obdržel vůbec první Nobelovu cenu za fyziku. Roku 1895 Thomas Alva Edison zkoumal schopnost materiálů fluoreskovat, když jsou vystaveny rentgenovému záření, a zjistil, že nejlépe se osvědčil wolframan vápníku. Asi v březnu 1896 se fluoroskop, který vyvinul, stal standardem lékařských vyšetření rentgenovým zářením. Přesto Edison ukončil výzkum záření roku 1903, potom, co zemřel Clarence Madison Dally, jeden z jeho foukačů skla. Dally zkoušel trubice na své ruce, čímž si přivodil jejich rakovinu. Obě ruce mu byly amputovány v marné snaze ho zachránit. Roku 1906 fyzik Charles Glover Barkla objevil rozptyl rentgenového záření v plynech a využil ho při zkoumání vlastností látek. Určil tak například počet elektronů v atomu uhlíku. Rovněž dokázal polarizovat rentgenové záření, čímž potvrdil, že má stejné vlastnosti jako viditelné světlo. Za své objevy získal roku 1917 Nobelovu cenu za fyziku. Lékařské využití rentgenového záření (v oblasti ozařovací terapie) rozšířil John Hall-Edwards v Birminghamu (Anglie). Roku 1908 mu musela být amputována ruka v důsledku nádoru z ozáření. V padesátých letech 20. století byl sestrojen rentgenový mikroskop.
Související články
Reference
- ↑ KEVLES, Bettyann Holtzmann. Naked to the Bone Medical Imaging in the Twentieth Century. Camden, NJ : Rutgers University Press, 1996. ISBN 0813523583. S. 19–22.
- ↑ SAMPLE, Sharron. X-Rays [online]. NASA, 2007-03-27, [cit. 2007-12-03]. (The Electromagnetic Spectrum.) Dostupné online.
Externí odkazy
- Atlas radiologických obrázků na atlas.mudr.org. Velké množství radiologických obrázků setříděných podle metody, vyšetřované části těla, orgánu, krátký popis patologie v anglickém jazyce.
- radiologieplzen.eu webový portál určený pro pacienty hledající více informací o zobrazovacích metodách.
|
| Náklady na energie a provoz naší encyklopedie prudce vzrostly. Potřebujeme vaši podporu... Kolik ?? To je na Vás. Náš FIO účet — 2500575897 / 2010 |
|---|
| Informace o článku.
Článek je převzat z Wikipedie, otevřené encyklopedie, do které přispívají dobrovolníci z celého světa. |
